Під час операцій з видалення ракових пухлин необхідно проводити діагностику патологічної тканини. Зараз найбільш поширеним способом гістологічного аналізу є забарвлення зразків за допомогою стандартного набору реактивів – гематоксиліну та еозину. Гематоксилін фарбує ядра клітин у синій колір, еозин – примембранні білки та деякі цитоплазматичні структури у червоно-рожеві тони. Така процедура займає певний час та вимагає людських та лабораторних ресурсів. Якщо ви дивилися медичні серіали, то можете пам’ятати драматичні моменти, коли лікарі чекають на результати з лабораторії, оскільки не можуть продовжувати роботу.
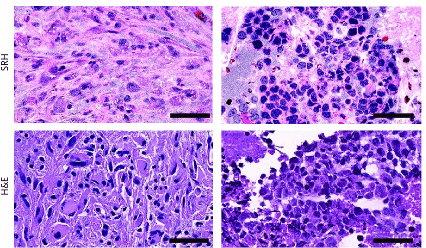
Дослідники запропонували іншу методику – стимульовану раманівську гістологію (stimulated Raman histology). Вона може бути застосованою до живих тканин, навіть in vivo, не вимагає барвників та дає порівняну із гематоксиліном-еозином наочність (приклад на зображенні). А головне – вона швидша. Такий аналіз робиться у операційній кімнаті за 2-3 хвилини, що значущо відрізняється від традиційного лабораторного аналізу (20-30 хв).
Більше того, учені натренували на 2.5 млн зразків “штучний інтелект” (нейрональні мережі), і він здатен із точністю у 94.6% визначити злоякісність пухлини та віднести її до певного типу. Це є не гіршим за точність людей-експертів (93.9%).
Таким чином, розроблена методика здатні істотно спростити та прискорити діагностику під час операцій, що матиме позитивний ефект на їх успішність.
Взагалі, схоже, що нейромережі матимуть все більше застосування у медицині.
Джерело: Hollon TC, Pandian B, Adapa AR, Urias E, Save AV, Khalsa SSS, Eichberg DG, D’Amico RS, Farooq ZU, Lewis S, Petridis PD, Marie T, Shah AH, Garton HJL, Maher CO, Heth JA, McKean EL, Sullivan SE, Hervey-Jumper SL, Patil PG, Thompson BG, Sagher O, McKhann GM 2nd, Komotar RJ, Ivan ME, Snuderl M, Otten ML, Johnson TD, Sisti MB, Bruce JN, Muraszko KM, Trautman J, Freudiger CW, Canoll P, Lee H, Camelo-Piragua S, Orringer DA. Near real-time intraoperative brain tumor diagnosis using stimulated Raman histology and deep neural networks. Nat Med. 2020 Jan;26(1):52-58. doi: 10.1038/s41591-019-0715-9

Залишити відповідь